Examens

6 minutes de lecture

Que voit-on avec une radio pulmonaire ?

La radio pulmonaire est l’un des examens d’imagerie médicale les plus prescrits. Rapide, indolore et largement accessible, elle joue un rôle central dans l’évaluation de nombreuses pathologies respiratoires et thoraciques. Souvent demandée en première intention, elle permet d’obtenir une vision globale des poumons et des structures environnantes, tout en rassurant le patient par sa simplicité et sa fiabilité. Mais concrètement, que voit-on sur une radio pulmonaire ? Et dans quelles situations cet examen est-il utile ?

Radio pulmonaire

Qu’est-ce qu’une radio pulmonaire ?

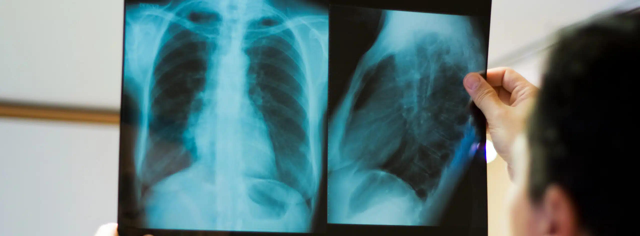
La radiographie pulmonaire est un examen d’imagerie utilisant les rayons X pour visualiser le thorax, et plus précisément les poumons. Elle est généralement réalisée de face, parfois complétée par un cliché de profil afin d’affiner l’analyse.

Cet examen permet d’observer la façon dont les rayons traversent les différentes structures du thorax. L’air contenu dans les poumons apparaît sombre, tandis que les os, les tissus denses et certaines anomalies apparaissent plus clairs. Cette différence de contraste rend possible l’identification de nombreuses anomalies pulmonaires ou thoraciques.

Rapide à réaliser (quelques minutes suffisent) la radio pulmonaire est souvent le premier examen prescrit face à des symptômes respiratoires ou dans le cadre d’un bilan médical.

Les poumons : la zone centrale de l’examen

Sur une radio pulmonaire, les poumons constituent la principale zone d’analyse. Le radiologue étudie leur transparence, leur symétrie et l’aspect du parenchyme pulmonaire.

Cet examen permet notamment de détecter :

  • des infections pulmonaires comme les pneumonies, qui se traduisent par des opacités anormales
  • des atélectasies, correspondant à un affaissement partiel du poumon
  • des anomalies diffuses évoquant certaines maladies inflammatoires ou interstitielles
  • des signes indirects de pathologies chroniques, notamment chez les patients fumeurs ou atteints de bronchopneumopathie chronique obstructive (BPCO)

La radio pulmonaire ne remplace pas toujours un scanner thoracique, mais elle constitue une étape essentielle pour orienter le diagnostic et décider, si nécessaire, d’examens complémentaires.

Le cœur et les gros vaisseaux

Même si elle est centrée sur les poumons, la radio pulmonaire permet également d’évaluer la silhouette cardiaque. Le radiologue observe la taille et la forme du cœur, ce qui peut donner des indications précieuses sur certaines pathologies cardiaques.

Une augmentation du volume cardiaque peut par exemple suggérer une insuffisance cardiaque ou une pathologie chronique nécessitant une prise en charge spécifique. Les gros vaisseaux thoraciques, comme l’aorte, sont également visibles et analysés dans leur contexte global.

La plèvre et les espaces autour des poumons

La plèvre est la fine membrane qui entoure les poumons. Sur une radio pulmonaire, elle est scrutée avec attention, car certaines anomalies sont facilement identifiables.

L’examen permet de repérer :

  • un épanchement pleural, c’est-à-dire une accumulation de liquide autour du poumon
  • un pneumothorax, correspondant à la présence anormale d’air dans la cavité pleurale
  • des épaississements pleuraux pouvant être liés à des infections anciennes ou à certaines expositions professionnelles

Ces éléments sont essentiels pour expliquer une douleur thoracique, un essoufflement soudain ou persistant, et orienter rapidement la prise en charge.

Les os et la cage thoracique

La radio pulmonaire offre également une visualisation des structures osseuses du thorax : côtes, clavicules, colonne vertébrale dorsale.

Elle peut ainsi mettre en évidence :

  • des fractures costales, parfois responsables de douleurs thoraciques après un traumatisme
  • des anomalies osseuses ou des lésions secondaires visibles dans certains contextes médicaux
  • des déformations de la cage thoracique pouvant influencer la respiration

Même si ce n’est pas son objectif principal, cette analyse globale contribue à une lecture complète et fiable de l’examen.

Dans quels cas prescrit-on une radio pulmonaire ?

La radio pulmonaire est indiquée dans de nombreuses situations, aussi bien en urgence qu’en consultation programmée. Elle est fréquemment demandée en cas de toux persistante, de fièvre, de douleurs thoraciques, d’essoufflement ou dans le cadre d’un suivi médical.

Elle peut également être réalisée avant une intervention chirurgicale, dans un bilan de santé ou pour surveiller l’évolution d’une pathologie connue. Grâce à sa rapidité et à sa faible irradiation, elle constitue un examen de référence, sûr et largement éprouvé.

Un examen simple et rassurant pour le patient

L’un des grands avantages de la radio pulmonaire est son caractère non invasif. Aucune préparation particulière n’est nécessaire, et l’examen est indolore. Le patient est guidé par le manipulateur en radiologie pour adopter la bonne position et retenir brièvement sa respiration au moment du cliché.

Au sein des centres Revelis, la radio pulmonaire est réalisée dans des conditions optimales, avec des équipements modernes et des équipes formées à l’accueil et à l’accompagnement des patients. Cette approche contribue à réduire l’anxiété et à garantir des images de haute qualité, indispensables à une interprétation fiable.

Pourquoi prendre rendez-vous pour une radio pulmonaire ?

Faire réaliser une radio pulmonaire, c’est choisir un examen fiable, rapide et rassurant pour comprendre l’origine de symptômes respiratoires ou thoraciques. C’est aussi une étape essentielle pour poser un diagnostic précoce et adapter la prise en charge médicale.

Que ce soit à Paris ou dans l’un des centres Revelis en région, les équipes d’imagerie médicale mettent tout en œuvre pour offrir un parcours patient fluide, sécurisé et respectueux. En cas de doute ou de symptômes persistants, prendre rendez-vous pour une radio pulmonaire permet d’agir sans attendre, en bénéficiant d’un examen de référence et d’une expertise reconnue en imagerie thoracique.

Informer, rassurer et accompagner : c’est dans cet esprit que la radio pulmonaire s’inscrit comme un outil essentiel au service de votre santé respiratoire.